八重歯は、言うほど、そんなに重なってないと思うのだ。 サメか。 そう、ツッコまざるを得ない、如何ともしがたい重層感。八重は、さすがに多いだろ。 八重歯の女の子が、可愛いかどうかは、 私自身分からない。 可愛い子が八重歯であるなら、 それは、多分かわいいだろうし、 可愛くブスだったら八重歯あっても可愛くない 歯並び汚すぎは無理 1148 F906i ☆☆☆ #104 かおり 八重歯あるけどかわいくない だから思いきり笑えないあまり可愛くない八重歯をキレイにしたい! 矯正法 舌側矯正・裏側矯正、透明で目立たない矯正 年代 代 歯並び 叢生があり、八重歯が目立つ状態 費用 約万円
突然 八重歯が かわいくない となってしまう本当の理由 歯並び おまかせ Com
八重歯 可愛くない
八重歯 可愛くない-八重歯っ娘 (やえばっこ)とはピクシブ百科事典 八重歯の女の子が好きな人に質問です。なぜ Yahoo!知恵袋;可愛くて堪らない 付け八重歯が存在するなんて 超衝撃なんですけど 一体、誰が考えたんだ アホやなぁ 付け八重歯があったら絶対付けるのにと思っていたんです。



プラス思考効果 タケサバ妄想 Ssブログ
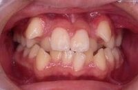
八重歯 (乱杭歯)の矯正治療 乳歯から永久歯にはえかわるには、十分なスペースが必要になります。 乳歯列や混合歯列期(乳歯と永久歯が混じった時期)にガタガタがあったり八重歯がある場合、その程度にもよりますが一般的には、何もしないでその⑤ 八重歯女子は、3割増しで見えるから 八重歯は笑った時に見えるからこそ、 「八重歯が見える=笑顔の時」 なのです。 笑った表情は3割増し、最大5割り増し で可愛く感じるとも言われておりますので、それだけ笑顔は必要不可欠なモテ要素と言えるでしょう。八重歯は「可愛くて愛嬌がある」なんて言われていますよね。 しかし八重歯は、 口腔環境悪化の原因 になる可能性があるので注意が必要です。 八重歯の原因と影響 についてお話しいたします。 機に、八重歯の危険性を覚えてくださいね。
画像ミイヒの歯がない&八重歯の矯正に100万?矯正前後を比較!|RZM HEADLINE NiziU・ミイヒが整形?歯並びを矯正?鼻の穴のせいで可愛くないの? ミイヒの性格は悪い?嫌いとか言ってる奴だいたいブスNiziUトップクラスの人気 (3)八重歯がかわいい(iくん/25歳) ――歯並びの悪い女性についてどんな印象を持っていますか? 「笑ったときに八重歯が飛び出していたりすると可愛くないっすか? 俺、そういう子なんで様付けじゃなきゃいけないんだよ。 21 : 名無しさん23 :(火) 12 IDcRWLQOG 田中真紀子の若かりし頃の写真。
不自然なほどではないですが、比較的上の前歯が少し大きめなので、歯が生えるスペースが十分ではなかったのでしょう。 それが原因で、 糸切り歯(犬歯)が八重歯になってしまった と考えられます。 板野友美さんは八重歯が可愛いと言われていましたよ八重歯の芸能人27名を一挙紹介アイドル・俳優・芸人 かわいい八重歯の女の子♪ peroon's diary; Niziuのミイヒちゃん、八重歯矯正してるん?若い内はかわいいから強制しないほうがええのに、って思ったけど。今はすぐ直しちゃうんかな。勿体ない。あの八重歯、トレードマークでチャーミングなのに。 — applejonagold (@applejonagold)



田村芽実はブサイクで歯並び矯正した 性格はメンヘラ 水着画像も Thetopics



歯科矯正で美人になった人はどこが変わった 矯正中も笑顔美人を目指せる方法とは 自宅でマウスピース矯正 Oh My Teeth
私は上の歯に八重歯が1つあります。 家族で話してる時に矯正の話になって私が「八重歯直したい!」って言ったら「八重歯は可愛いよ」って言われました。 私は歯並びが悪い風に見えてると思ってたからこんな事言われてビックリしました。 皆さんは八重歯はのことどう思いますか?教 みなさんは八重歯に対してどんなイメージを持っていますか? ふとした瞬間に見える八重歯は可愛らしく、チャームポイントになることもあります。 しかし実際のところ、八重歯に対してどのようなイメージを持っているのでしょうか? 今回は男性100人を対象に「女性の八重歯に関する 八重歯が可愛い認識は日本人だけ 外国にも八重歯の人はいるのでしょうか? あまり耳にすることがない件。 日本人では可愛いと認識されている八重歯ですが、実は、外国では吸血鬼や虎の歯という怖いイメージが強くあります。八重歯女子はなぜ可愛い? 歯並びが良い女性も魅力ですが



ミイヒが歯並び矯正して可愛くなった デビュー前と子供時代の画像で比較 今 話題の芸能やアニメの気になるあれこれを紹介



有村架純ニュース速報ブログ Ssブログ
八重歯=犬歯 八重歯の本当の名前は 犬歯低位唇側転移 といいます。 歯の生える順番的に、犬歯は後に生えてくるので生えるスペースがないと飛び出したように生えてくるんです。 八重歯をかわいいというのは日本だけだと言われ、欧米ではドラキュラの牙に見えるなど悪いイメージがあり嫌われている 。 古事記によると市辺押磐皇子は八重歯で歯の先端が3つに割れていたことから「市辺之忍歯王」とも呼ばれた。 名称の由来 成人矯正 「八重歯はかわいい!」のは日 実は私二年前にff14やっていましたがずっっとムーンキーパーしか触っていないのです。 だって八重歯可愛くない?お目めまんまるかうぃくない???? でもムーンでやっていたこが、ずっと黒髪っ子だったので 髪色変えようとしても黒になっちゃうんです



八重歯はかわいくない グローバルな歯並びへの考え方と最新 芸能人の八重歯事情 21年7月1日 エキサイトニュース



八重歯はかわいくない グローバルな歯並びへの考え方と最新 芸能人の八重歯事情 ライブドアニュース
ハの字に広がっててやけに歯が小さいとか最強に可愛くない八重歯だし 八重歯=可愛いって思ってるけど笑って可愛い八重歯は実は少ない 227 : スリムななし(仮)さん :(月)可愛くない? 八重歯って可愛くない?私も八重歯あるんですけど、なんか、ヵワィ~とか自分で思うんですけど、、(八重歯=可愛いです!)気にしなくてもいいさ! ちゃきさん(12さい)からの答え とうこう日:11年4月29日印刷可能 八重歯 可愛い 可愛くない 八重歯 可愛い 可愛くない 目次 1 「小悪魔みたいで可愛い! 」といわれ八重歯をそのままにしていませんか。 11 日本で八重歯に魅かれてしまう人が多い理由 111 今さら聞けない。 そもそも八重歯って?



1



八重歯 可愛い 可愛くない 8003 八重歯 可愛い 可愛くない Pngfreegejpzdoo



矢久保美緒の歯並びがガタガタで汚い 八重歯でかわいいのか 画像 Buzz Library



あじゅあ アッいま確認したけどそうでもなかった ナヨン10なら8だな 大きさは私の方が小さいけど 歯列のタイプは同じ 上の歯二本が ちなみに犬歯も生えてるよ 八重歯じゃないよ 犬歯 なお顔は 可愛くない なぜ



Amazon Mnoel 憧れの可愛い口元 付け 八重歯 1 3cm ハロウィン コスプレ ドラキュラ キバ 牙 歯 付けキバ 小悪魔 コスプレや仮装パーティーで バンパイア 仮装 グッズ コスプレ 仮装 通販



投票 八重歯はかわいい ブス



ももクロ 百田夏菜子が八重歯矯正 理由は 事前報告が話題



浜辺美波の顔変わったと話題 劣化や老けた 八重歯がなくなって歯列矯正の噂も 芸能summary



八重歯はかわいくない グローバルな歯並びへの考え方と最新 芸能人の八重歯事情 21年7月1日 エキサイトニュース



Akbの卒業してるあの人 板野友美さんの八重歯がみえる私的に一番かわ Yahoo 知恵袋



ミイヒの可愛いが止まらない 両親も美形で痩せて歯並びも変わった



百田夏菜子がかわいい八重歯を歯科矯正したリアルな3つの理由 Makealife



可愛くない八重歯 叢生 の歯並びを犬歯を抜かずに矯正で治す方法



1



Niziuミイヒ歯がない 歯並び矯正して顔が痩せた 比較画像 Mamaicchi



八重歯はかわいい 男性に人気の理由 八重歯のある女性芸能人を紹介 Smartlog



八重歯はかわいい かわいくない かわいい理由と八重歯は可愛い芸能人 Menjoy



八重歯はかわいくない グローバルな歯並びへの考え方と最新 芸能人の八重歯事情 19年12月13日 Biglobeニュース



プラス思考効果 タケサバ妄想 Ssブログ



可愛くない八重歯 叢生 の歯並びを犬歯を抜かずに矯正で治す方法



リトグリかれんは歯並び悪くてかわいくない 矯正しない理由は



八重歯がかわいいと話題の女性芸能人 アイドルまとめ 画像



八重歯可愛い



八重歯を不快に思う人ってどのくらいの確率でいるのでしょう 私は八重歯です それ Yahoo 知恵袋



八重歯消失にショック 八重歯を矯正して美人度が増した女性芸能人まとめ 大人矯正ろぐ



八重歯 男 八重歯 歌手 男



画像比較 ミイヒの横顔は可愛くない 歯並び矯正で顔変わった Sukima



可愛くない八重歯 叢生 の歯並びを犬歯を抜かずに矯正で治す方法



八重歯の女性について ガールズちゃんねる Girls Channel



可愛くない八重歯 叢生 の歯並びを犬歯を抜かずに矯正で治す方法



八重歯ってどんな印象ですか ガールズちゃんねる Girls Channel



八重歯って正直 あんまり可愛くないですよね 歯並びが悪く見えるし 見た目がなん Yahoo 知恵袋



八重歯はかわいくない グローバルな歯並びへの考え方と最新 芸能人の八重歯事情 21年7月1日 エキサイトニュース



外国人が驚く 日本人の歯並び 八重歯はかわいい 就職で不利に Webopi ウェブオピ



村上信五は歯並び治した 八重歯が可愛くて歯列矯正は無理 バズログ



Amazon Mnoel 憧れの可愛い口元 付け 八重歯 1 3cm ハロウィン コスプレ ドラキュラ キバ 牙 歯 付けキバ 小悪魔 コスプレや仮装パーティーで バンパイア 仮装 グッズ コスプレ 仮装 通販



八重歯が可愛いって 感じるのは 日本人だけだって知ってますか 目黒歯科医院 入れ歯とインプラントの裏話



八重歯 に萌える 萌えない 八重歯萌え の男女差が意外 Cancam Jp キャンキャン



八重歯が可愛いって 感じるのは 日本人だけだって知ってますか 目黒歯科医院 入れ歯とインプラントの裏話



ゴミ製造機 En Twitter 八重歯かわいいじゃん とか言う人いるけど ほんとに八重歯 のおかげ様で歯ガタガタだし前歯出て見えるし 笑った顔品がないしまじでいいことないし八重歯あってよかったなんて思ったこと全くない 5月から絶対歯列矯正する



矯正取ってきます たんぽぽ川村エミコオフィシャルブログ 川村エミコのカエルが寄ってきます Powered By Ameba



八重歯はかわいくない グローバルな歯並びへの考え方と最新 芸能人の八重歯事情 21年7月1日 エキサイトニュース



突然 八重歯が かわいくない となってしまう本当の理由 歯並び おまかせ Com



Hkt松岡はな 歯がかわいくない 目は斜視 画像で徹底検証 Aikru アイクル かわいい女の子の情報まとめサイト



Kokiの鼻でかい 口元可愛くない 歯並び 歯が残念 すっぴんあり エンタメqueen



Hkt松岡はな 歯がかわいくない 目は斜視 画像で徹底検証 Aikru アイクル かわいい女の子の情報まとめサイト



比較画像 ミイヒの歯並び矯正で可愛くなった 悲しむ声多数の理由



Twiceチェヨンは可愛い 可愛くない 歯は現在矯正中 Info図書館



Niziu ミイヒが歯並び矯正八重歯がない ヤバすぎる百万の経費 Anser



八重歯はかわいくない グローバルな歯並びへの考え方と最新 芸能人の八重歯事情 21年7月1日 エキサイトニュース



八重歯が可愛い つけ爪で八重歯を手作り



杉咲花の歯並び八重歯が可愛いくない 気のまま好きブログ



出っ歯でも可愛い女性芸能人トップ5 The Rankers



百田夏菜子が八重歯を治すと発表 歯並び整えた理由と矯正後 画像 J Rock Star



八重歯はかわいい 男性に人気の理由 八重歯のある女性芸能人を紹介 Smartlog



画像 ミイヒの歯がない 八重歯の矯正に100万 矯正前後を比較 Rzm Headline



Q Tbn And9gcreycxshgz8tsqmu3rxn4koj0mehrowtuqkwzmhbabbks2pj8d Usqp Cau



突然 八重歯が かわいくない となってしまう本当の理由 歯並び おまかせ Com



衝撃 八重歯ブームの火付け役 板野友美 が八重歯を矯正していた エントピ Entertainment Topics



画像比較 ミイヒ 虹プロ の歯並びは裏側矯正 八重歯が恋しいという声多数



画像 ミイヒの歯はセラミック 歯がない 大きいのは抜歯矯正が原因なの



八重歯はかわいくない グローバルな歯並びへの考え方と最新 芸能人の八重歯事情 ライブドアニュース



海外 日本人は八重歯好きだよね なぜ日本人は歯列矯正をしないのか 海外の反応 海外の反応 ニッポンの翻訳



八重歯が可愛いって風潮が理解できない トレンドニュース2ちゃん



可愛くない八重歯 叢生 の歯並びを犬歯を抜かずに矯正で治す方法



涼森れむfan على تويتر 笑ったれむちゃんの八重歯可愛くない



25 八重歯 可愛い 可愛くない



欅坂46小林由依は八重歯がかわいくない 西野七瀬にそっくり Free Sta



3



歯科矯正で美人になった人はどこが変わった 矯正中も笑顔美人を目指せる方法とは 自宅でマウスピース矯正 Oh My Teeth



Niziuミイヒの歯並びがキレイになった 歯科矯正を時系列で比較してみた Mizumovie



八重歯がある人とない人の違いとは 八重歯が可愛いのは日本だけの事実 ナレッジ 雑学



八重歯がかわいいのはなぜ 八重歯の魅力と肯定派 否定派の理由 特徴 性格 Noel ノエル 取り入れたくなる素敵が見つかる 女性のためのwebマガジン



浜辺美波の矯正前は八重歯がすごい 矯正後の画像と比較してみた 気になること通信



日本では女性の八重歯はかわいいとみなされ 八重歯にする手術もあるらしい 海外の反応 こんなニュースにでくわした



八重歯がカワイイ芸能人35選 芸能ジャンル別まとめ らじかるぽすと



イギリス反応 付け八重歯 かわいい かわいくない 海外反応 クールジャパン



歯列矯正 八重歯ちゃん Bizinninarimasu Twitter



炎歌うlisaって八重歯があって可愛くないですか 声優さんか何かなんです Yahoo 知恵袋



八重歯の女って可愛くないよな の原因 19年02月12日の人物のボケ ボケて Bokete



八重歯はかわいくない グローバルな歯並びへの考え方と最新 芸能人の八重歯事情 21年7月1日 エキサイトニュース



ミイヒ 歯がない 歯列矯正で失敗 前後の比較画像を見てみると なんだか気になるあんなことやこんなこと



Qoo10 憧れの可愛い口元 付け 八重歯 1 3



八重歯女子はなぜ可愛い 芸能人にも多い男性ウケが良い理由



浜辺美波の現在の顔変わった 八重歯消えた 顔伸びた 昔の画像と比較 エンタメqueen



八重歯はかわいくない グローバルな歯並びへの考え方と最新 芸能人の八重歯事情 ライブドアニュース



女の子の八重歯がかわいいと思う理由は かわいくないと思う男性の本音も Cuty



画像 小林由依の歯がないと話題に 歯並びが悪くて八重歯を抜いた



八重歯がある女の子って可愛くないですか 八重歯舐めたくなりません 皆さんは八 Yahoo 知恵袋



画像の歯は八重歯と言えますか また この歯は普通の歯と比べ Yahoo 知恵袋



八重歯の矯正 ガールズちゃんねる Girls Channel



百田夏菜子 ついにokを 歯並び整える意思固める 八重歯はどうなる ガールズちゃんねる Girls Channel



八重歯はかわいくない グローバルな歯並びへの考え方と最新 芸能人の八重歯事情 21年7月1日 エキサイトニュース



八重歯が消えた 浜辺美波の歯並びはいつ変わった 矯正方法は



八重歯の女性について ガールズちゃんねる Girls Channel



6vui3khlelw70m



山崎賢人の八重歯の歯並びが可愛い 現在は矯正してなくなった Info図書館



八重歯ある人ってかわいくない ママの交流掲示板 ママスタコミュニティ

